放射線品質の重要性:X線、Cイオン、Feイオンに対するアブラナ属のマイクログリーンの形態学的および生化学的反応
この論文は「これまでのところ、我々の知る限り、宇宙指向研究の文脈において、異なるLET(線エネルギー通過率)を持つ複数の種類の電離放射線に曝露された単一の食用作物種の応答を体系的に評価した研究は存在しない」ということで宇宙船での宇宙線被ばく下での食糧生産を目指している研究である。
日本では無重力化での植物の生育研究は一時はやったことがあるが、食糧生産を目指した本格的な研究がどこかでやられているのか、小生は知らない。
放射線品質の重要性:X線、Cイオン、Feイオンに対するアブラナ属のマイクログリーンの形態学的および生化学的反応
Sara De Francesco、 Chiara Amitrano、 Ermenegilda Vitale、Giulia Costanzo、 Walter Tinganelli、
Mariagabriella Pugliese、 Cecilia Arrichiello、 Paolo Muto、 Marco Durante、 Stefania De Pascale、Carmen Arena、 Veronica De Micco
Planta (2025) 262:118
https://doi.org/10.1007/s00425-025-04835-6
要旨
宇宙探査の進展と極限環境下における制御環境農業の重要性が増す中、電離放射線が生長に及ぼす影響の解明は極めて重要である。電離放射線は宇宙栽培システムにおける主要な制約要因であると同時に、地球上のストレスシナリオにおいても役割を果たす。
放射線生物学への関心が高まる一方で、線エネルギー伝達率(LET)の異なる各種放射線に対する植物応答を体系的に比較した研究はほとんど存在しない。
本研究では、アブラナ属ラパ種(Brassica rapa L.)の種子に対し、X線(低LET)、炭素イオン、鉄イオン(高LET)を増加する線量で照射した。種子発芽、形態・組織学的特性、生化学的特性をマイクログリーン段階まで評価した。
植物の反応は線量依存性かつ放射線種別特異性を示した。具体的には、X線は低線量(1Gy)でホルメティック反応を引き起こし、高線量では解析した複数の形質が低下した。炭素イオンは葉の伸長を促進したが、色素・タンパク質含有量および構造的投資を減少させ、ストレス下での組織分化遅延と低コスト適応メカニズムを示唆した。鉄イオンは生化学的防御機構の協調的活性化と適度な形態学的変化を促進した。全体として、放射線品質はB. rapaに異なる適応戦略を誘導し、成長・構造的完全性・防御機構のバランスに影響を与え、その顕著な放射線抵抗性を浮き彫りにした。さらに、形質特異的適応戦略の同定は、放射線ストレス下における植物の適応メカニズムの理解を深める上で重要である。さらに、形質特異的な閾値と応答パターンの特定は、異なる放射線種を意図した成果に基づいて選択的に適用し、特定の機能(例:バイオマスや抗酸化物質の促進、解剖学的調整)を調節できる可能性を示唆している。
これらの知見は、異なる電離放射線種が植物応答に与える影響に関する貴重な知見を提供し、宇宙指向研究における重要な空白を埋め、地球外環境における植物成長を最適化する戦略の指針となる。
緒言(部分訳)
:::植物は哺乳類細胞よりも電離放射線に対する耐性を示すが、その耐性を支える形態生理学的・生化学的経路は、特に宇宙ミッション中に予想される混合放射線環境下では依然として十分に解明されていない(De Micco et al. 2011; Gudkov et al. 2019; Geras’kin 2024; Volkova et al. 2022)。植物は哺乳類細胞よりも放射線に対する耐性が強いものの、その耐性を支える形態生理学的・生化学的経路は、特に宇宙ミッション時に予想される混合放射線環境下では依然として不明な点が多い(De Micco et al. 2011; Gudkov et al. 2019; Geras’kin 2024; Volkova et al.2022)。
植物における電離放射線誘発効果は、これまで種・栽培品種・放射線・線量に強く依存することが明らかになっており、重力や光質などの他の環境・栽培要因との相互作用にも影響される(De Micco et al. 2023b)。これは植物発生の初期段階で特に顕著であり、重イオン照射を受けた4種のマイクログリーンを比較スクリーニングした最近の研究で実証されている:同一の放射線処理と生育条件下でも、遺伝子型ごとに形態学的および色素関連の反応に差異が認められた(Amitrano et al. 2024)。
これらの知見は、過去の研究と合わせて、放射線種や線量が、近縁種や遺伝子型間でさえ相反する結果をもたらし得ることを示している。例えば、10Gyのチタンイオン照射はBeta vulgarisのフラボノイドプロファイルを変化させたが発芽には影響しなかった(Vitale et al. 2022)。一方、20GyのX線照射はBrassica rapaのマイクログリーンにおいて抗酸化能を高めた(De Francesco et al. 2023)。同様に、25GyのCaイオンを照射したSolanum lycopersicumの種子では、苗の高さは減少したが葉のカロテノイドは増加した(Arena et al. 2019a)。Dolichos melanophthalmusは10GyのCイオンに耐え、成長への影響は最小限であったが顕著な組織学的変化を示した(De Micco et al. 2021a)。これまでのところ、我々の知る限り、宇宙指向研究の文脈において、異なるLET(線エネルギー通過率)を持つ複数の種類の電離放射線に曝露された単一の食用作物種の応答を体系的に評価した研究は存在しない。これは重大な知識の空白を表しており、放射線の質が植物の応答をどのように調節するかについて、より包括的な研究の必要性を強調している。
以上のことを踏まえ、本研究ではアブラナ属ラパ種野生型変種食用種(Brassica rapa L. subsp. sylvestris var. esculenta)の乾燥種子に対し、X線(0、0.3、1、10、20、30 Gy)、高エネルギー炭素イオン(Cイオン:0、0.3、1、10、20、25 Gy)、
および高エネルギー鉄イオン(Feイオン:0、0.3、1、10、20、25 Gy)を
用いて線量増加照射を行った。
我々は、形態学的、解剖学的、生化学的特性が放射線種と線量に依存して変化し、少なくともX線と重イオンの反応を区別し、B. rapaマイクログリーンにおいて有益、有害、または中立的な効果をもたらすという仮説を立てた。得られたデータは、この種を制御環境および宇宙栽培システムにおける栄養価の高い作物として利用する可能性を評価するのに役立つだろう。
表1
X線、Cイオン、Feイオン照射がB. rapaマイクログリーンの生重量(FW)と乾重量(DW)、下胚軸長、葉面積に及ぼす影響
(対照群(0)と増加線量照射群(X線:0.3、1、10、20、30 Gy;Cイオン:0.3、1、10、20、30 Gy;Feイオン:0.3、1、(0) および増加する線量で照射した
幼苗(X線:0.3、1、10、20、30 Gy;CイオンおよびFeイオン:0.3、1、10、20、25 Gy)
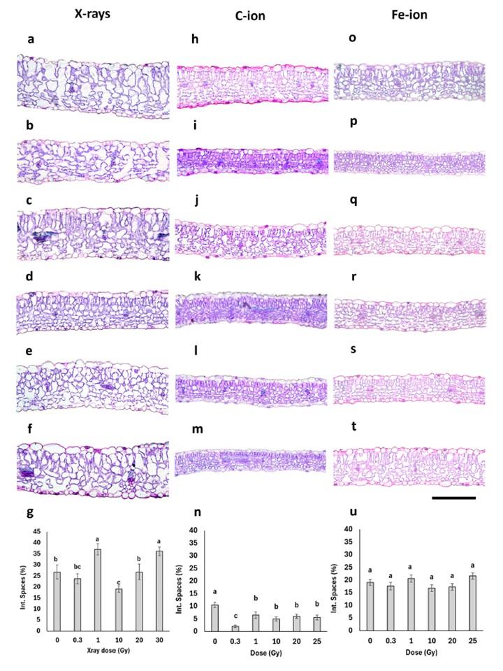
図1
非照射種子から培養したB. rapaマイクログリーンの葉身横断面(a-f, h-m, o-t)の光学顕微鏡画像
(a, h, o: 対照群, 0 Gy)および照射線量増加群(X線、炭素イオン、鉄イオン)(a-f, h-m, o-t)。対照群(a, h, o、0 Gy)は非照射種子から、X線照射群(b, 0.3 Gy; c, 1 Gy; d, 10 Gy; e, 20 Gy; f, 30 Gy)、Cイオン照射群(g, 0.3 Gy; h, 1 Gy; i, 10 Gy; j, 20 Gy; k, 30 Gy)、Feイオン照射群(l, 0.3 Gy; m, 1 Gy; n, 10 Gy; o, 20 Gy; p, 30 Gy)は照射線量が増加する順に処理。(i, 0.3 Gy; j, 1 Gy; k, 10 Gy; l, 20 Gy; m, 25 Gy)、Feイオン照射(p,0.3 Gy; q, 1 Gy; r, 10 Gy; s, 20 Gy; t, 25 Gy)による微小葉の葉身横断面。画像は全て同一倍率。スケールバー = 100 μm。各照射処理における海綿状実質内の細胞間隙面積の定量化(%):g、X線照射;n、Cイオン照射;u、Feイオン照射。値は平均値 ± 標準誤差(n = 15)。異なる文字は統計的に有意な差を示す(P < 0.05)。
表3
X線、炭素イオン(C-ions)、鉄イオン(Fe-ions)に曝露したB. rapaマイクログリーンの3つの代表的形質(乾燥重量、葉身厚さ、抗酸化能)について、対数ロジスティック用量反応曲線から抽出したEC50およびNOEL値の概要

表1

図1

表3